
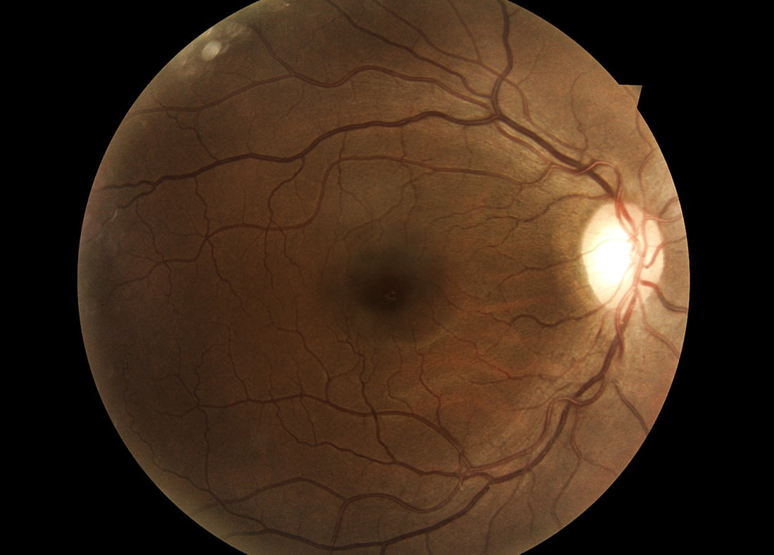
Digital Retinal Photography is a medical imaging technique that captures the images of the internal structures in the back of the eye, including the retina, optic disk and macula. This can be used by your eye doctor to assess the health of the eye and diagnose various eye conditions such as retinal diseases, diabetic retinopathy, or age-related macular degeneration. Digital retinal photography can also detect signs of underlying conditions such as hypertension and glaucoma.
At Dan Rod Eyes, we recommend opting for this procedure at least once a year as it's easy as a snap. It does not make you blurry and does not require a puff of air in your eyes. For more information about Digital Retinal Imaging, reach out to us at Dan Rod Eyes today at 310.319.6122.
         
              